Стоматологическая клиника Смайлкрафт

Популярные услуги

Акции и скидки

Комплексный подход к лечению
Срок действия
Осталось 8 дней, до 21 февраля
Представлены текущие акции
Новые предложения появятся позже

Подробнее о компании Смайлкрафт

На сегодняшний день уровень развития медицины позволяет как государственным, так и частным клиникам оказывать широкий спектр услуг.

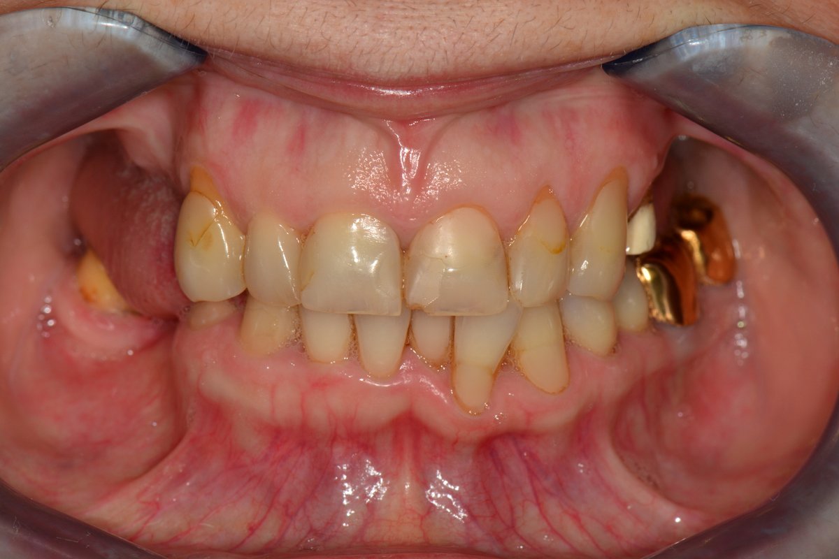
Если вы собираетесь добиться сияющей улыбки, то работу над ней лучше доверить профессионалам. В стоматологической клинике Смайлкрафт имеется все необходимое для того, чтобы ваши зубы снова стали белоснежными. В нашей стоматологии готовы предоставить услуги лечения кариеса, удаления зубов, отбеливания, исправления прикуса, изготовления имплантов, а также установки металлокерамики, брекетов, имплантов, виниров. С нами ваша улыбка будет в надежных руках!

Ваш малыш боится посещать врачей? В нашей стоматологии говорят нет детским страхам! Наши доктора - не просто профессионалы, они умеют найти подход даже к самым недоверчивым пациентам.

Врачи клиники занимаются проведением комплексной диагностики организма на соответствующих аппаратах.

Записаться на консультацию к нужному специалисту можно по телефону.

Наш рейтинг на порталах
Доступная среда
вызов персонала
Способы оплаты
картой, наличные, QR код, через банк

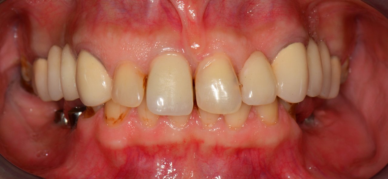
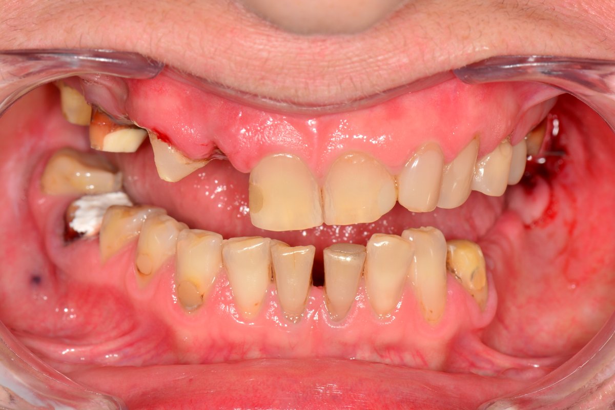
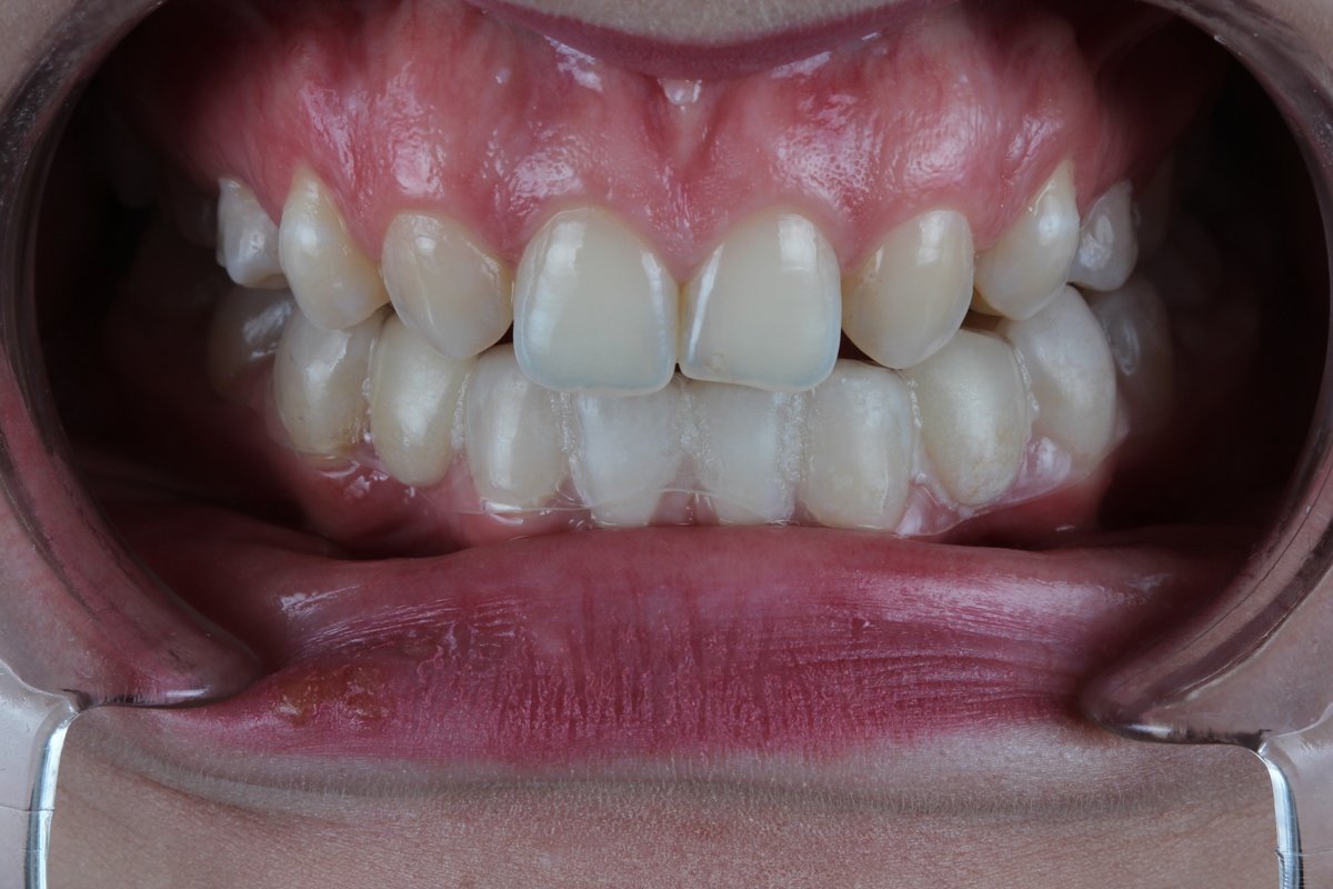
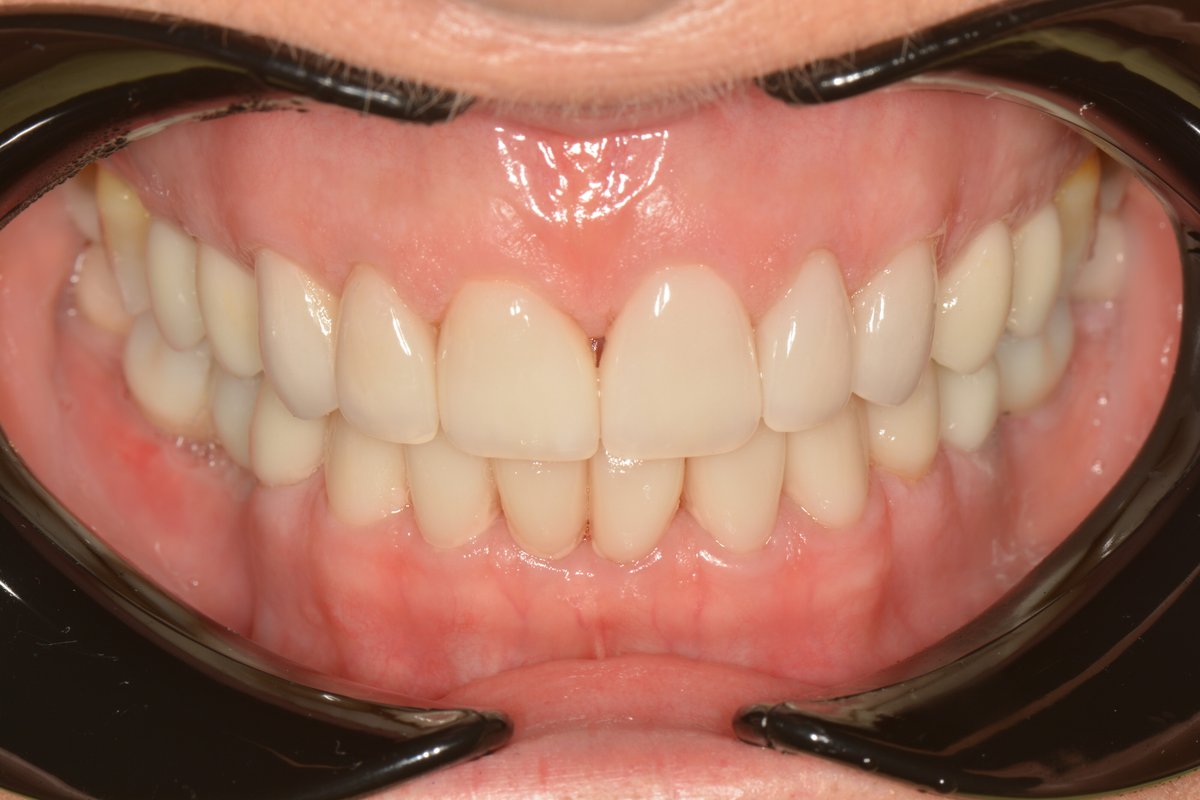
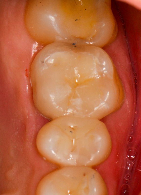
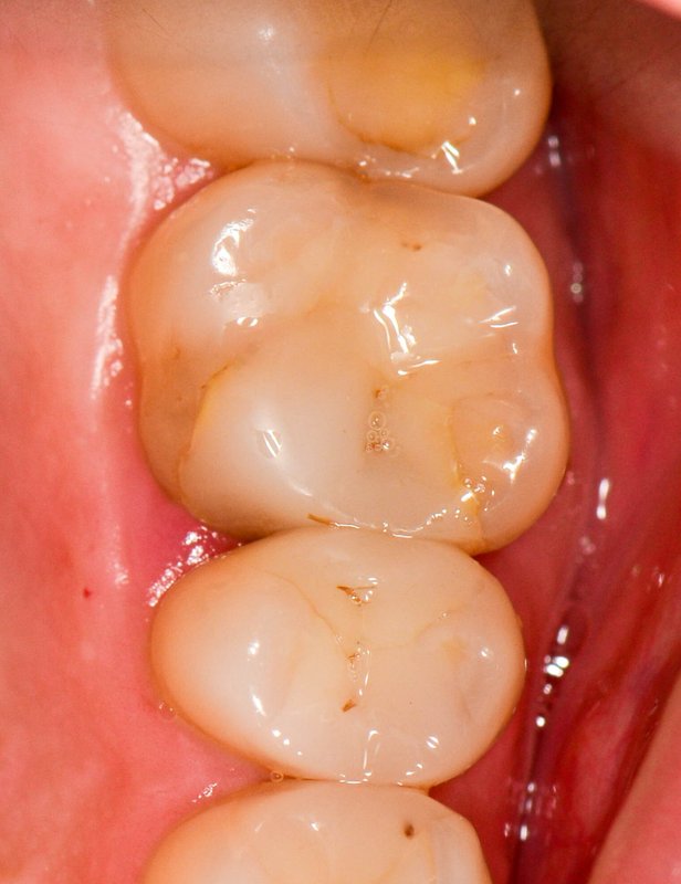
Фотогалерея

Специалисты

Алексей Юрьевич Попретинский
Алексей Юрьевич Попретинский
Алексей Юрьевич имеет большой опыт работы и уже более 14 лет создает улыбки. Успешно протезирует с опорой на импланты (одиночные, в мостовидном протезе, а так же по технологии All on 2/4/6/8). Устанавливает виниры, коронки, вкладки. Замещает утраченный ряд зубов всеми видами съемного, условно-съемного и несъемного протезирования. Всегда комплексно и внимательно подходит к диагностике и лечению пациентов. Постоянно совершенствуется и обучается.
Дарья Александровна Пак (Макарова)
Дарья Александровна Пак (Макарова)

Пак (Макарова) Дарья Александровна является стоматологом-терапевтом. Вы можете обратиться к доктору не только если вас беспокоит состояние зубов, но и при патологиях ротовой полости.

Аюна Олеговна Нагулаева
Аюна Олеговна Нагулаева
Врач-стоматолог-ортодонт, выполняет следующие операции: Диагностика (снимки КТ/ОПТГ/ТРГ, снятие оттисков, сканирование) и лечение зубочелюстных аномалий. Ортодонтическое лечение на брекетах и элайнерах, работа на съемных и несъемных системах. Постановка ретейнера и ретенционной каппы. Ортодонтическая подготовка к имплантации и протезированию.
Марина Сергеевна Вершинина
Марина Сергеевна Вершинина

Вершинина Марина Сергеевна работает в сфере имплантологии, пародонтологии и стоматологической хирургии. Марина Вершинина в том числе обладает знаниями и навыками в области хирургической пародонтологии, занимается лечением гингивита, а также делает пластику десны, уздечки губ и языка и тканей полости рта. К ней обращаются, когда необходимо воссоздать целостность зубного ряда, сделать улыбку красивой и получить возможность снова качественно пережевывать твердую пищу. Марина Вершинина, помимо этого, может помочь подобрать зубные импланты, а также профессионально провести все сопутствующие процедуры по подготовке и вживлению импланта в челюсть.

Михаил Витальевич Кисеев
Михаил Витальевич Кисеев
Кисеев Михаил Витальевич является опытным хирургом-имплантологом, который занимается более 13 лет удалением зубов любой сложности, одиночной имплантацией зубов, одномоментной имплантацией зубов, устанавливает импланты по системе ALL on 4 / ALL on 6, проводит операции по костной пластики (наращивание костной ткани - синус-лифтинг, заполнение костного дефекта, расщепление альвеолярного гребня и пр.), а так же проводит хирургические вмешательства с мягкими тканями полоти рта (закрытие рецессий, пластика десны). Михаил Витальевич проводит операции любой сложности.
Анна Александровна Попретинская (Мишина)
Анна Александровна Попретинская (Мишина)
Анна Александровна уже долгое время помогает взрослым и детям с заболеваниями зубов. Лечит кариес любой сложности, проводит эндодонтическое лечение, занимается лечением пульпита и периодонтита, а так же сложных случаев перелечивания зубов (повторная эндодонтия), лечение детей всех возрастов, удаление молочных зубов.
Если Вы любите четкость, лаконичность, последовательность в работе и Вам необходимо исключительное внимание к себе, то Анна Александровна – это ваш доктор на долгие годы.

Лицензии, награды, сертификаты

Отображены доступные лицензии

Отзывы

5,0
Екатерина
Персонал клиники очень приветливый и профессиональный. Все услуги выполняют отлично: и удаление, и ортодонтическое лечение. Особенно хочу отметить ортодонта Аюну Олеговну, которая оперативно помогла, когда у меня слетел брекет, надела замочек на зуб. Все прошло прекрасно, нареканий нет!
2 августа 2025 Отзыв взят с сайта Zoon.ru
5,0
Светлана
Мне достойно сделали то, что мне надо было — вставили коронку. С врачом я уже давно знакома, и считаю его замечательным!
2 августа 2025 Отзыв взят с сайта Zoon.ru
5,0
Галина
Я давно хожу к Анне Александровне – она добрая, чуткая, делает все аккуратно и без боли. У доктора просто потрясающая энергетика – с первого визита поняла, что это мой врач! Администраторы тоже очень милые и внимательные девушки.
1 августа 2025 Отзыв взят с сайта Zoon.ru
5,0
Никита
В клинике мне удаляли зуб, всё прошло супер. Качество услуг на высоте, врач очень классный, хороший специалист. После удаления дал рекомендации, я всё соблюдал, благодаря чему всё хорошо зажило.
1 августа 2025 Отзыв взят с сайта Zoon.ru
5,0
Дамир
Врач сделал чистку зубов и провел лечение кариеса аккуратно и четко, мне очень понравилось, все было на высшем уровне. Обслуживание оставило только положительные впечатления!
24 июля 2025 Отзыв взят с сайта Zoon.ru
5,0
Лилия
Все замечательно! Сервис на высшем уровне, профессионализм специалистов впечатляет. Обстановка приятная, все было сделано четко и грамотно. Я ставила пломбу, была анестезия, чистка каналов, делали снимки — все прошло отлично. Доктор Анна Александровна — настоящий профессионал: внимательная, объяснила все грамотно, четко и понятно, консультация была на высоте.
24 июля 2025 Отзыв взят с сайта Zoon.ru
5,0
Анастасия
Осталась очень довольна посещением клиники! Профессионализм врачей на высшем уровне — зуб удалили быстро и безболезненно. Оба специалиста, которых я посещала, были доброжелательны и поддерживали меня на протяжении всего процесса. После удаления мне дали подробные рекомендации, что очень удобно. Чистку зубов тоже провели качественно, доктор дала советы по уходу. Обратилась к конкретным врачам — терапевту Попретинской Анне и хирургу, и осталась полностью довольна их работой. Спасибо за отличный сервис!
23 июля 2025 Отзыв взят с сайта Zoon.ru
5,0
Екатерина
Очень качеством оказанных услуг, профессионализмом врача и доброжелательностью всего персонала клиники. Приятная обстановка и комфортное пребывание ребенка для меня имеют не последнее значение как для родителя. Проведенная ребенку чистка была на высоте, плюс установленные мне пломбы доктором держатся долго, что тоже радует. Я уже не первый год обращаюсь к этому врачу. Главное, что ребенок больше не боится ходить к стоматологу.
23 июля 2025 Отзыв взят с сайта Zoon.ru
5,0
Артем
В клинике нравится абсолютно все от входа до выхода. В работе доктора самое важное - не навредить, и он с этим справляется. Последний раз проходил лечение пульпита и остался доволен.
21 июля 2025 Отзыв взят с сайта Zoon.ru
5,0
Людмила
Мне всё понравилось в клинике — и условия, и врачи. Отношение было внимательное, всё делали аккуратненько, ставили пломбы, удаляли зуб — всё прошло хорошо.
17 июля 2025 Отзыв взят с сайта Zoon.ru
5,0
Мария
К Анне Александровне я обращаюсь давно, обращаюсь только к ней и моя дочь сама приходила на чистку. Врач не только профессионально выполняет свою работу, но и обладает хорошими человеческими качествами: всегда объясняет процесс и принимает меры, если появляется боль.
17 июля 2025 Отзыв взят с сайта Zoon.ru
5,0
Светлана
Мне очень нравится мой врач-терапевт Анна Александровна — она прекрасно делает свою работу, профессионально проводит лечение и чистку зубов. Отношение к клиентам у нее очень положительное, всегда внимательна и аккуратна.
17 июля 2025 Отзыв взят с сайта Zoon.ru
5,0
Анастасия
Мы давно ходим к Анне на терапевтические услуги — пломбы ставим и зубы удаляем, обращаемся всей семьей, мы с мужем по терапевтическим вопросам, ребенок ходит к ней на профилактику. Очень доверяем врачам, и в целом довольны сервисом.
11 июля 2025 Отзыв взят с сайта Zoon.ru
5,0
Ирина
В приятной клинике хороший сервис, везде чисто и красиво. Персонал внимательный и заботливый, всё вежливо, по профессиональной этике. Меня внимательно выслушали, поняли мои беспокойства и предложили решение после осмотра. Я была у терапевта и планирую посетить хирурга, ортодонта и ортопеда. Мне понравилось, что всё подробно объясняли, даже если я что-то не понимала.
11 июля 2025 Отзыв взят с сайта Zoon.ru
5,0
Владимир
Долгое время я обращаюсь в эту клинику, в частности к Анне Александровне. Всегда остаюсь доволен профессионализмом и хорошим отношением доктора к своим обязанностям. Последний раз я проходил у неё лечение и проверял коронки, процедуры прошли качественно.
5 июля 2025 Отзыв взят с сайта Zoon.ru
5,0
Ирина
Главное для меня было доверие к доктору Попретинской, именно поэтому я выбрала эту клинику. Врач бережно ко мне относилась, была аккуратна и спокойна, что помогло сделать лечение практически безболезненным. К ней я обратилась для чистки зубов и лечения двух верхних зубов, процедура прошла с обезболиванием, плюс мне запломбировали канал. После процедур я получила много полезных рекомендаций от доктора.
4 июля 2025 Отзыв взят с сайта Zoon.ru
5,0
Елена
Я уже много лет лечу зубы у Анны Александровны и каждый раз остаюсь под большим впечатлением от её профессионализма. Мне, как человеку, который с детства боится стоматологов, очень важно чувствовать уверенность в докторе — и здесь я её точно нахожу. Врач не просто внимательная, а ещё и с «золотыми руками», поэтому страх перед лечением полностью пропадает. Обычно я прихожу с кариесом или на чистку, и каждый раз всё проходит на высшем уровне.
24 июня 2025 Отзыв взят с сайта Zoon.ru
5,0
Юлия
Врач с помощью технологии определила, что нужно удалять зуб, не вскрывая его, определила, что в нем пульпит. Но больше всего поразило заботливое отношение всего персонала. Видно было, что они искренне переживают за меня, внимательно слушали, задавали правильные вопросы. Чувствовалось, что людям действительно не всё равно!
17 июня 2025 Отзыв взят с сайта Zoon.ru
5,0
Елена
Хожу к доктору Алексею Юрьевичу и каждый раз остаюсь под большим впечатлением от его работы! На последнем приеме была на осмотре после удаления зуба — врач проявил максимум внимания и профессионализма. Нравится то, как доступно и подробно он объясняет все нюансы лечения — это вызывает полное доверие. Алексей Юрьевич сочетает в себе высокую скорость работы с безупречным качеством — редкое сочетание для стоматолога! Раньше он уже занимался моим лечением и протезированием, и всегда результат превосходил ожидания. После последнего визита получила четкие рекомендации, хотя ситуация была стандартной — это показатель ответственного отношения к каждому пациенту.
17 июня 2025 Отзыв взят с сайта Zoon.ru
5,0
Сергей
Я лечил несколько зубов в этой клинике, и мне очень понравился профессионализм доктора Анны. Она правильно подобрала решение моей проблемы, качественно провела все работы, а перед этим сделала рентген и дала подробную консультацию. Мне важно, чтобы в клинике были вежливые специалисты, которые работают пунктуально, используют хорошие материалы и инструменты. Здесь я увидел ответственный подход, а еще мне объяснили про гарантию.
16 июня 2025 Отзыв взят с сайта Zoon.ru
5,0
Дмитрий
Я приходил на чистку и консультировался по поводу импланта — врачи проявили себя как настоящие профессионалы. Особенно понравились основатели клиники Анна и её муж. Очень приятные в общении люди, работа выполнена на высоком уровне. Всё доступно объяснили, качество отличное.
16 июня 2025 Отзыв взят с сайта Zoon.ru
5,0
Михаил
Мы лечили ребенку пульпит и кариес - врач проявил настоящее профессиональное мастерство и внимательное отношение к маленькому пациенту. Особенно порадовали адекватные цены в нынешних условиях, что стало приятным дополнением к качественному лечению. Доктор нашел правильный подход к ребенку, сочетая медицинскую компетентность с душевным отношением. Остались довольны результатом и общей атмосферой в клинике.
5 июня 2025 Отзыв взят с сайта Zoon.ru
5,0
Марина
К доктору я пришла по рекомендации. Пломбу мне поставила Попретинская Анна, причем сделала это просто отлично! Врач прекрасно работает, всё подробно объясняет, рассказывает, а подход у неё очень внимательный.
5 июня 2025 Отзыв взят с сайта Zoon.ru
5,0
Виктория
Анну Алексеевну я знаю давно, она мой постоянный стоматолог. Услуги, которые я получила у неё в последний раз, были отличными! Врач провела мне чистку и пломбирование зубов. Результат процедур меня полностью устроил.
5 июня 2025 Отзыв взят с сайта Zoon.ru
5,0
Светлана
Я лечила пришеечный кариес у доктора Анны Попретинской - заменили пломбу аккуратно и профессионально. Врач проявила понимание к моей финансовой ситуации, согласившись разделить лечение на этапы: сначала вылечили зубы, а коронки отложили до лета. Особенно понравился дружелюбный подход всего персонала, комфортные условия лечения и даже предложенный кофе. Дали полезные рекомендации по гигиене полости рта и необходимости сделать снимок для будущих коронок. Осталась довольна внимательным отношением и качеством оказанных услуг.
4 июня 2025 Отзыв взят с сайта Zoon.ru
5,0
Ольга
Обожаю данную клинику, так как здесь потрясающий профессионализм врачей и уютная атмосфера. Особенно доверяю докторам Анне и Алексею — хожу к ним уже давно. Мне нравится, как они всё объясняют: доступно, понятно от начала до конца процедуры.
4 июня 2025 Отзыв взят с сайта Zoon.ru
5,0
Виолетта
В клинике чисто, свежо, аккуратненький симпатичный ремонт. Я лечусь и у терапевта Анны, и у ортопеда Алексея. Хорошие специалисты, профессионалы. Консультируют максимально понятно, буквально «по полочкам раскладывают» информацию, без навязывания лишних процедур. Даже вся моя семья теперь здесь лечится!
4 июня 2025 Отзыв взят с сайта Zoon.ru
4,0
Елена
Лечусь у Анны Александровны много лет - она внимательный и аккуратный специалист. В клинике хорошее обслуживание, приятные помощники врачей.
26 мая 2025 Отзыв взят с сайта Zoon.ru
5,0
Артем
Ортопед Алексей Юрьевич скрупулёзно подходит к своей работе, всё делает точно и аккуратно. Сейчас я прохожу у него лечение по протезированию, всё идёт отлично. Помимо профессионализма, меня порадовало отношение: с врачом можно спокойно общаться, у нас нормальный человеческий контакт, то есть человек создаёт положительные эмоции.
19 мая 2025 Отзыв взят с сайта Zoon.ru
5,0
Екатерина
Я всегда боялась стоматологов, но в клинике страх полностью прошел! И врачи, и обслуживание, и даже администраторы очень приветливые. Хочу отметить Анну Александровну Попретинскую, врач настолько внимательная, подробно объясняет, что будет делать, сразу называет сумму лечения. Мне расписали все процедуры и следующие приёмы, так что я точно знала, что меня ждёт. Была ещё у других врачей: Алексея — и девушки, фамилию которой не запомнила, я тоже осталась под большим впечатлением. Теперь я спокойно хожу к стоматологу и даже собираюсь привести сюда своих детей!
14 мая 2025 Отзыв взят с сайта Zoon.ru
Удалить отзыв

Остались вопросы?

Вы можете воспользоваться любым из указанных способов связи
Контактный номер
+7 (981) 337-34-... Показать
Мессенджеры